Welcome
Your Smile; A First Impression, A Lasting Impression. How Are You Making Yours?
Sparkling Smiles For the Whole Family
If you are looking for a dentist who can provide quality care and stunning results for the whole family, look no further than Your Windsor Dental Care. Located in Windsor, ON, we welcome new patients, adults, and children alike. We do not believe in a one-size-fits-all approach to dentistry. We customize treatment to meet your unique needs.
Hoping to whiten and brighten or straighten? Maybe you’re introducing your little one to professional dental care for the first time or looking for a new practice to help you maintain your healthy smile. Whatever your dental needs may be, you’ll love what we have to offer at Your Windsor Dental Care.
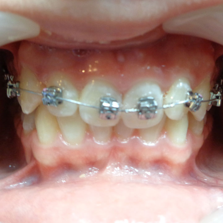
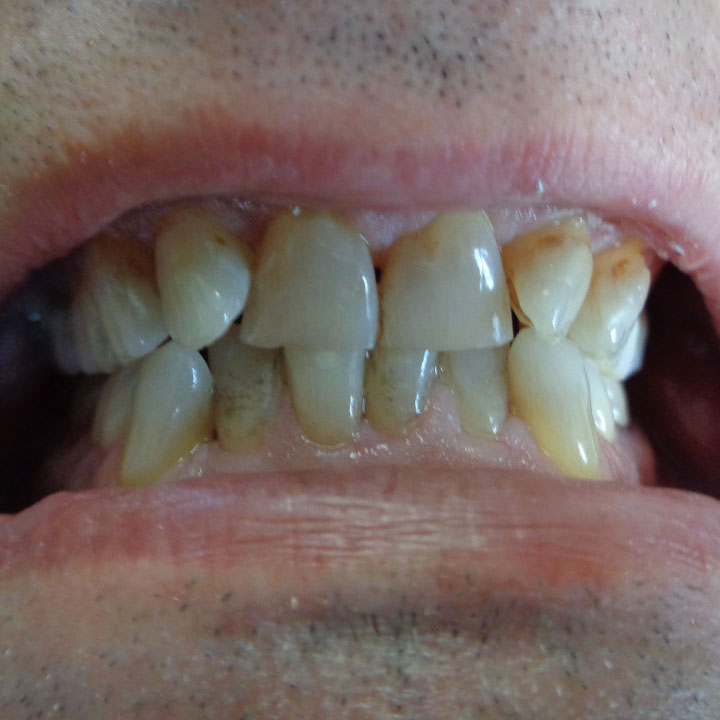
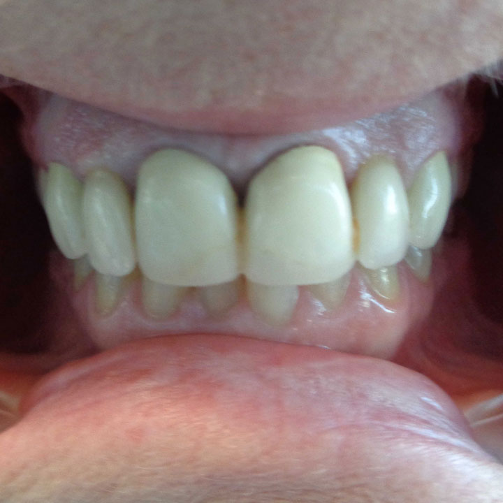
Before & After Smile Gallery
Before & After Smile Gallery
Bite Sized Dental Tips from Dr. Mark Luvisotto
Curious About Your Oral Health?
Explore Bite-Sized Dental Tips — quick, expert-backed advice and answers to your most common questions. Stay informed. Smile brighter.
We want to create beautiful, confident smiles for you and your family.
“People don’t care how much you know until they know how much you care.”
Services We Offer

Periodontics/Gum Disease ➜
Why Choose Your Windsor Dental Care?
Personalized Care
We pride ourselves on providing cutting-edge, personalized care. We take the time to listen to your needs and create a detailed plan to meet your unique situation.
Attention to Overall Well-Being
We view oral health as a vital component of overall well-being. We use our expertise in dentistry to ensure you are healthy overall. That includes offering in-home sleep studies to help you breathe and sleep soundly.
Comfortable Environment
Our office in Windsor, ON, offers the highest level of patient comfort. From the moment you open our doors, you will feel welcomed and at ease.
Listen To What Our Patients Say.
Are you getting the best sleep possible?
Schedule your visit today!
Your Windsor Dental Care
Phone
226-773-1370
Fax
226-773-0167
Hours
Tuesday: 8:30 AM – 4:20 PM
Wed-Thurs: 8:00 AM – 4:20 PM
Friday: Emergencies by appointment only
Sat: 8:30AM - 3:00PM (during the school year)

